
Modelo mais usado. Alinha os dentes com eficiência e segurança, usando bráquetes metálicos e borrachinhas coloridas.

Versão discreta do fixo. Bráquetes transparentes ou da cor do dente, garantindo eficiência, conforto e aparência natural.

Mais moderno e confortável. Dispensa borrachinhas, tem bráquetes menores e acelera o tratamento.

Placas transparentes e removíveis. Sob medida, quase imperceptíveis e com total praticidade.

Cuidados essenciais para manter dentes e gengivas saudáveis. Ajuda a prevenir cáries, tártaro e problemas futuros.

Tratamento eficaz que remove manchas e pigmentações. Devolve luminosidade ao sorriso, deixando os dentes mais claros.

Recuperam dentes danificados por cáries ou fraturas. Garantem estética natural, função mastigatória e maior durabilidade.

Reposição de dentes perdidos com tecnologia moderna. Proporciona conforto, estabilidade e estética.

Preserva dentes comprometidos, eliminando dor e infecções. Recupera a saúde e mantém a função mastigatória.

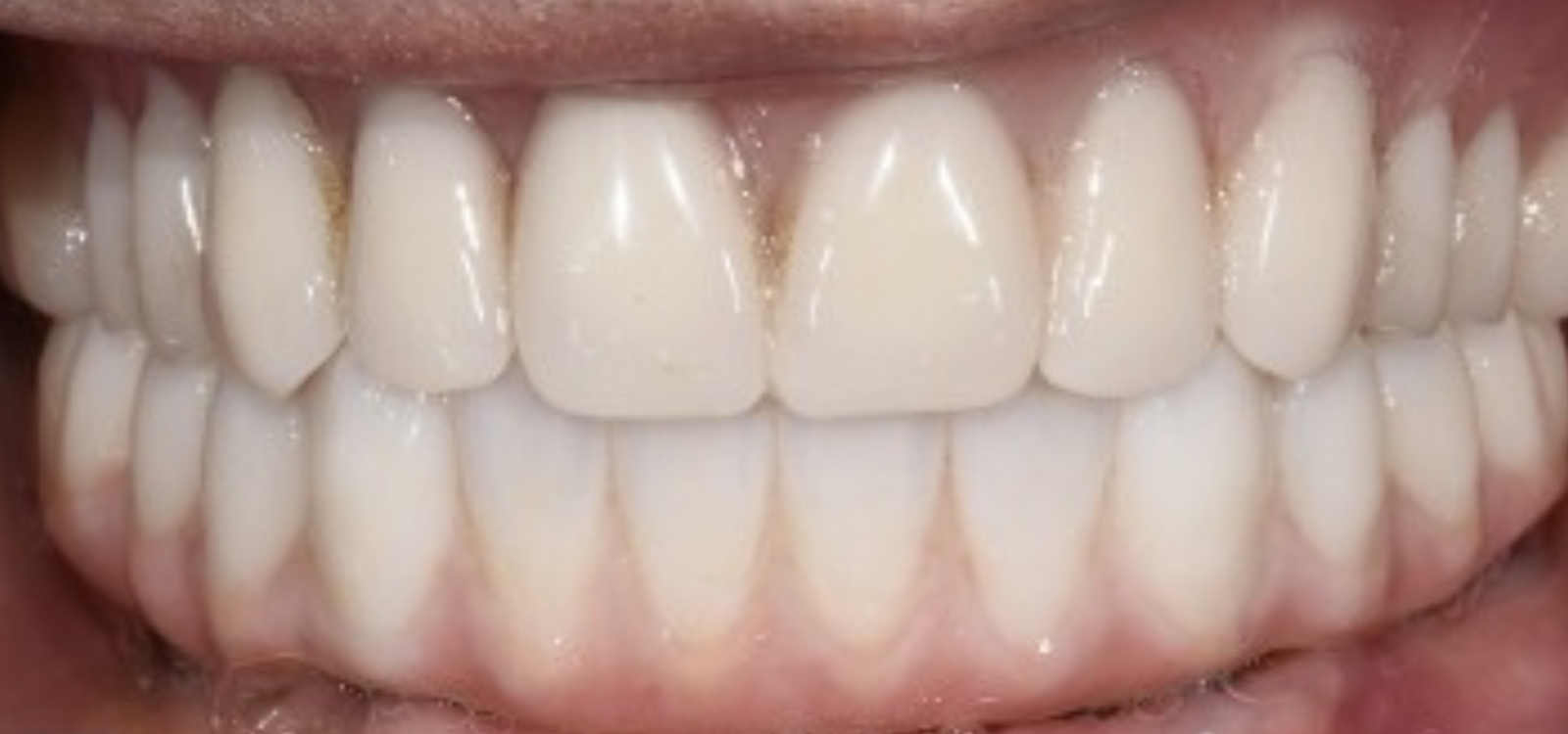
Porcelana ou Resina, correção estética rápida e personalizada. Harmoniza cor, forma e alinhamento.

Implantes Dentários: Tecnologia que devolvem função mastigatória, estética natural e autoconfiança. Uma solução definitiva para dentes perdidos.

Facetas de Porcelana: Corrigem formato, cor e espaçamento dos dentes, proporcionando um sorriso mais harmônico, branco e sofisticado.

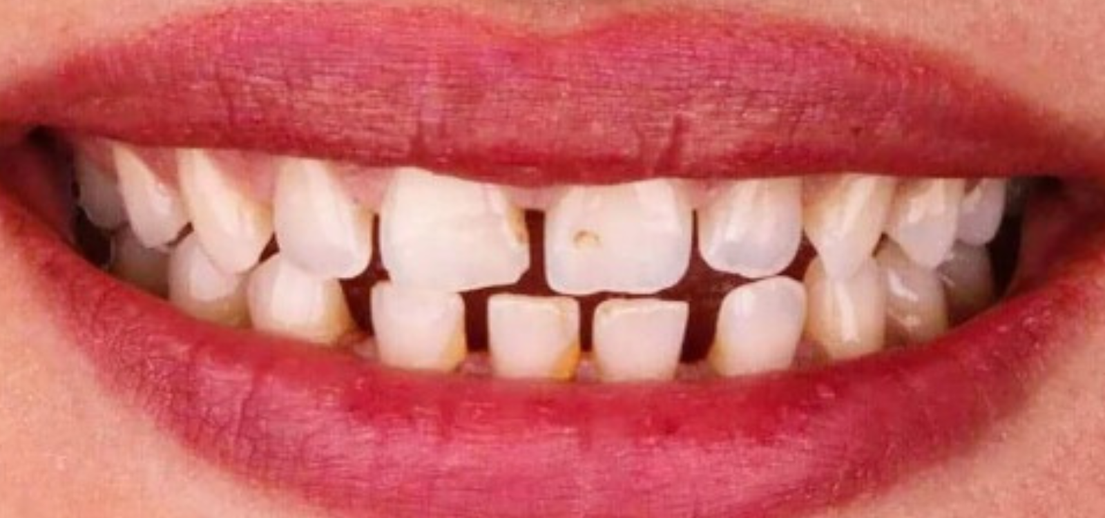
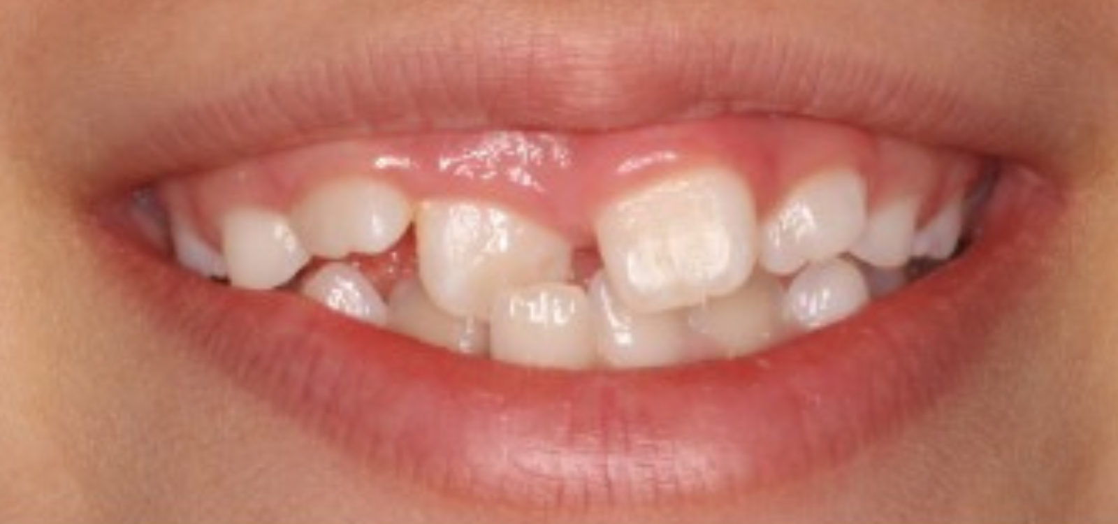
Ortodontia: Corrige o alinhamento dos dentes e da mordida, melhorando a função e a estética do sorriso com resultados naturais e funcionais.

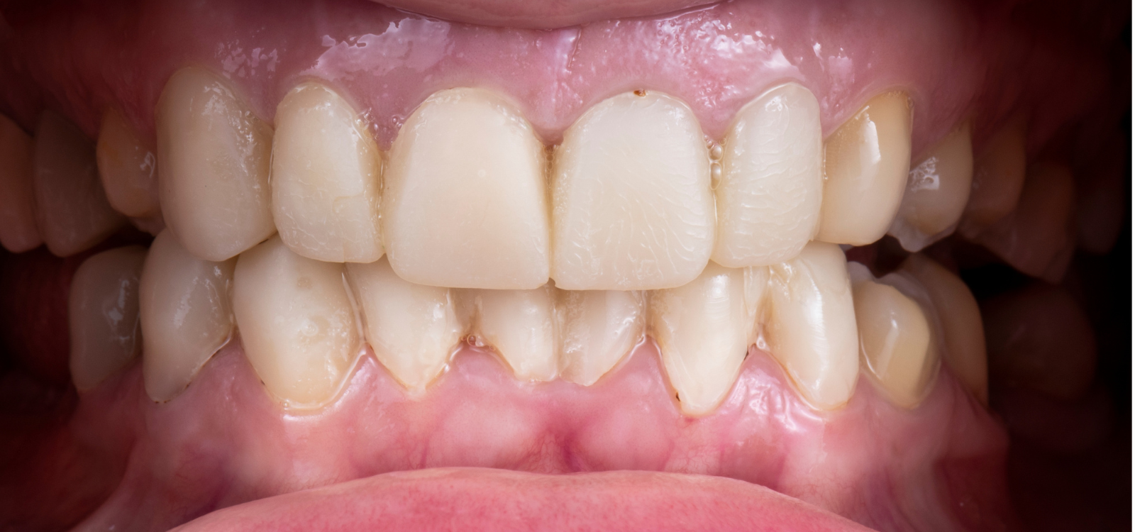
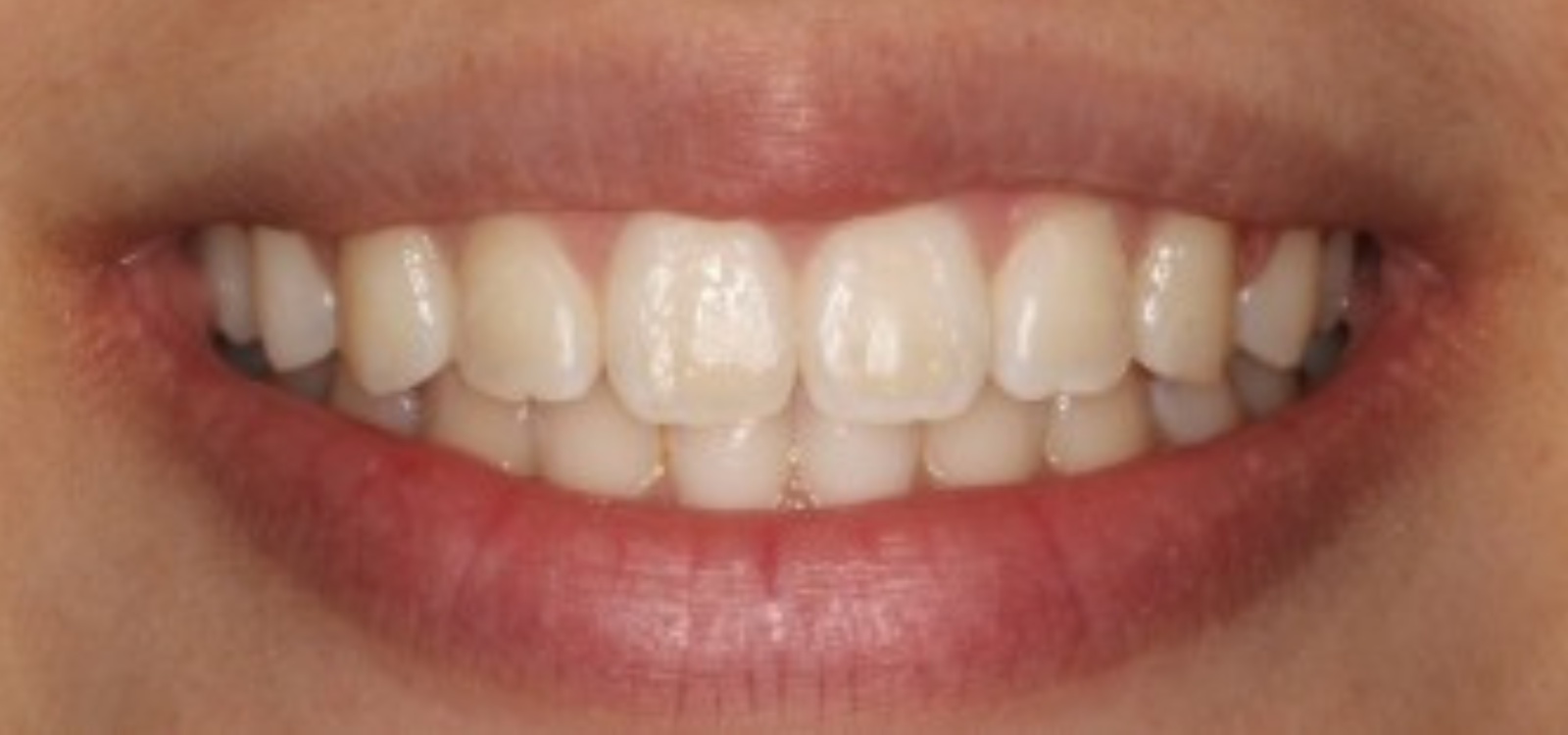
Clareamento Dental: Tratamento que remove manchas e pigmentações, devolvendo o brilho natural e a tonalidade branca dos dentes.
Comece hoje mesmo o seu tratamento
👇 Clique abaixo e fale com a gente!